Chirurgische repositie of resectie van de heupkop bij honden en katten
De chirurgische repositie of resectie van de heupkop is een veelgebruikte techniek voor de behandeling van heupproblemen bij honden en katten, zoals heupdysplasie of een gecompliceerde heupluxatie. Deze operatie wordt uitgevoerd om de stabiliteit van het heupgewricht te herstellen en de mobiliteit van het dier te verbeteren.
Behandeling van de heupkop bij honden en katten
Hieronder vindt u de belangrijkste aspecten van de chirurgische repositie of resectie van de heupkop:
1.
Doel van de methode
De operatie is gericht op het herstellen van de functie van het heupgewricht door de heupkop opnieuw te positioneren (repositie) of de beschadigde heupkop volledig te verwijderen (heupkopresectie). Bij een repositie wordt de heupkop teruggeplaatst in het heupkom, terwijl bij een resectie de heupkop wordt verwijderd om verdere pijn te voorkomen. Dit helpt het gewricht functioneel te maken zonder de gebruikelijke pijn en stijfheid.
2.
Procedure
- Voorbereiding: De hond of kat wordt onder algemene anesthesie gebracht, en het operatiegebied wordt grondig schoongemaakt en voorbereid.
- Incisie: Er wordt een incisie gemaakt rond het heupgewricht om toegang te krijgen tot de heupkop en het bekken.
- Repositie of resectie: In het geval van een repositie wordt de heupkop weer op zijn plaats gezet. Bij een heupkopresectie wordt het beschadigde bot verwijderd om verdere pijn te voorkomen.
- Fixatie: In sommige gevallen wordt een implantaat gebruikt om de nieuwe positie van de heupkop te stabiliseren.
- Sluiten: De incisie wordt zorgvuldig gesloten en het dier wordt naar de recovery gebracht.
3.
Voordelen
- Pijnverlichting: De operatie zorgt vaak voor significante pijnverlichting.
- Verbeterde mobiliteit: Dieren die een heupkopresectie of repositie ondergaan, ervaren vaak een verbetering in hun vermogen om te bewegen, wat hun algehele levenskwaliteit bevordert.
- Weinig complicaties: Deze techniek heeft in veel gevallen een laag risico op complicaties, waardoor het een betrouwbare keuze is voor veel dieren
4.
Revalidatie & nazorg
Na de operatie is het essentieel om een goed revalidatieplan te volgen. Dit omvat:
- Beperkte activiteit: Gedurende de eerste weken moet de hond of kat rusten om het genezingsproces te ondersteunen.
- Follow-up consult: Er wordt een controle gepland na ongeveer twee weken om de voortgang te monitoren en eventuele complicaties vroegtijdig op te sporen.
- Fysiotherapie: Fysiotherapie kan worden aanbevolen om de spieren te versterken, de mobiliteit te verbeteren en het herstel te versnellen.

Conclusie
De chirurgische repositie of resectie van de heupkop is een effectieve behandeling voor honden en katten die lijden aan heupproblemen zoals heupdysplasie of heupluxatie. Door de geavanceerde techniek kan de pijn worden verlicht en de mobiliteit worden hersteld, wat leidt tot een significante verbetering in de kwaliteit van leven van uw huisdier.
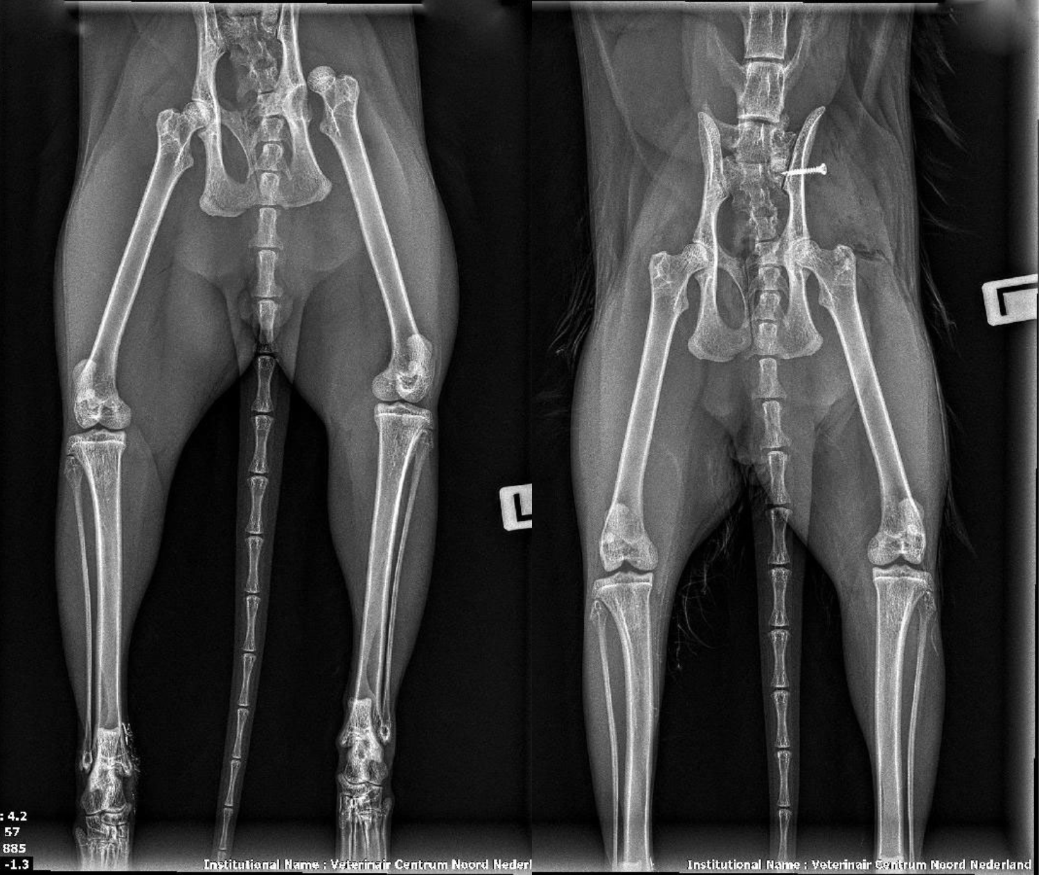
Röntgenfoto vóór en na de operatie

Wat zijn de kosten voor Chirurgische repositie of resectie van de heupkop bij honden en katten?
Bij Veterinair Centrum Noord Nederland hanteren we transparante, vaste tarieven, zodat u precies weet waar u aan toe bent. Wij vinden het belangrijk zorg en betaalbaarheid samen te brengen. Daarom bieden wij hoogwaardige operaties tegen eerlijke prijzen. Zo blijft de zorg voor uw huisdier betaalbaar en wordt zijn welzijn optimaal gewaarborgd.
De kosten voor de behandeling Chirurgische repositie of resectie van de heupkop bij honden en katten kunt u vinden onder het kopje tarieven.
Uw huisdier is in goede handen bij onze ervaren dierenarts
Onze dierenarts beschikt over de kennis en ervaring om een breed scala aan medische en chirurgische ingrepen uit te voeren, met zorg en aandacht voor uw huisdier.
Maak kennis met onze moderne dierenkliniek en ons toegewijde team, waar zorg en passie voor dieren centraal staan.
Wij helpen uw huisdier graag
Onze dierenarts bij Veterinair Centrum Noord Nederland heeft een uitgebreide expertise in de behandeling van Chirurgische repositie of resectie van de heupkop bij honden en katten. Heeft u vragen, wilt u advies van een van onze experts, of direct een afspraak maken? Neem gerust contact met ons op.
Onze locatie
Onze dierenkliniek is gevestigd in Noordwolde, centraal gelegen in de noordelijke provincies Friesland, Groningen en Drenthe. Voor bezoekers buiten deze provincies is de kliniek goed bereikbaar: vanuit Utrecht en Amsterdam bent u er met een anderhalf uur rijden, dankzij de gunstige ligging nabij de snelwegen.



